top of page
I RISULTATI
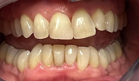
I risultati di trattamenti poco invasivi per un'estetica funzionale e armonica
PRIMA
DOPO


Faccette superiori e inferiori con allineamento arcata superiore e inferiore e modifica della brillantezza e del colore per un'estetica naturale.


Faccette superiori con chiusura di diastemi e spazi e armonizzazione del sorriso.


Modifica incisivi superiori: applicazione 4 faccette per perfezionamento ed equilibrio dell'estetica anteriore.


Modifica esclusivamente dell'arcata inferiore per eliminare l'aspetto di affollamento dei denti per un risultato estetico piacevole e naturale.
bottom of page